Răng khôn thường không cần thiết trong chức năng ăn nhai, ngược lại còn gây nhiều biến chứng tiềm ẩn. Vậy có nên nhổ răng khôn không là vấn đề nhiều người gặp phải tình trạng răng khôn quan tâm. Trong bài viết này, Nha khoa OTIS sẽ giải đáp chi tiết có nên nhổ răng khôn, trường hợp nào không nên và các lưu ý quan trọng.
Có nên nhổ răng khôn không?
Răng khôn mọc ở vị trí cuối cùng trong hàm, khi cấu trúc răng đã ổn định, chính vì vậy, quá trình mọc răng khôn dễ gây đau nhức, sưng viêm hoặc mọc lệch, mọc ngầm, gây răng khôn bị sâu, ảnh hưởng đến sức khỏe răng miệng. Khi đó, bác sĩ nha khoa khuyến nghị nên tiến hành nhổ bỏ răng khôn để tránh các biến chứng nguy hiểm cho sức khỏe răng miệng.
Bạn nên tiến hành nhổ răng khôn trong các trường hợp sau:
Răng khôn mọc lêch hoặc mọc ngầm
Vì răng khôn mọc sau, không còn không gian nên răng thường mọc lệch hoặc mọc ngầm. Khi răng mọc nghiêng, thường đâm vào răng số 7, tạo lực đẩy làm yếu chân răng, gây đau kéo dài và tăng nguy cơ sâu kẽ răng.
Đối với nhổ răng khôn mọc ngầm, do phần răng nằm dưới nưới có thể gây sưng viêm, nhiễm trùng mô mềm hoặc hình thành nang quanh chân răng. Đây đều là những tình trạng không thể tự khỏi và dễ tiến triển nặng hơn nếu không xử lý kịp thời.

Gây viêm nướu, sưng đau tái đi tái lại
Nếu răng khôn mọc không hoàn chỉnh, phần nướu trùm lên sẽ tạo khe hở giữ thức ăn. Vùng này rất khó vệ sinh, khiến vi khuẩn tích tụ và gây viêm lợi trùm. Người bệnh thường gặp tình trạng đau nhức, sưng nướu, hôi miệng hoặc sốt nhẹ. Đáng chú ý hơn là lợi trùm là bệnh lý dễ tái phát và mỗi lần tái phát mức độ đau sẽ nặng hơn. Vì vậy, bác sĩ thường khuyến cáo nhổ răng khôn để chấm dứt tình trạng viêm nướu lặp lại.
Răng khôn không có chức năng ăn nhai
Một số răng khôn mọc thẳng nhưng không chạm vào răng đối diện, không tham gia vào quá trình nghiền thức ăn. Những răng này hầu như không mang lại lợi ích mà còn dễ tích tụ vi khuẩn, gây viêm nướu hoặc sâu răng. Do đó, việc giữ lại răng khôn không có chức năng thường không cần thiết và có thể gây rủi ro về lâu dài.
Nguy cơ biến chứng theo đánh giá từ bác sĩ
Trong nhiều trường hợp, sau khi chụp phim CT, bác sĩ thấy răng khôn nằm gần dây thần kinh, mọc theo hướng bất thường hoặc có nguy cơ hình thành u nang. Những dấu hiệu này không thể nhận biết bằng mắt thường, nhưng lại tiềm ẩn nhiều biến chứng nguy hiểm.
Không nên nhổ răng khôn trong trường hợp nào?
Dù nhổ răng khôn là một tiểu phẫu an toàn và nên được thực hiện. Tuy nhiên, không phải lúc nào cũng có thể tiến hành ngay. Có những thời điểm và tình trạng sức khỏe mà việc nhổ răng khôn cần trì hoãn để đảm bảo an toàn tối đa cho người bệnh. Việc nhận biết rõ khi nào không nên nhổ răng khôn giúp bạn tránh rủi ro, đồng thời lựa chọn thời điểm phù hợp để quá trình hồi phục diễn ra thuận lợi.
Phụ nữ mang thai trong 3 tháng đầu và 3 tháng cuối
Phụ nữ mang thai là một trong những nhóm đối tượng không nên nhổ răng khôn, đặc biệt ở 3 tháng đầu và 3 tháng cuối của thai kỳ. Đây là những giai đoạn nhạy cảm, khi cơ thể người mẹ có nhiều thay đổi về nội tiết, sức đề kháng và tâm lý, vì vậy bất kỳ can thiệp y tế nào cũng cần được cân nhắc kỹ lưỡng để tránh ảnh hưởng đến em bé.
Trong 3 tháng đầu thai kỳ, việc nhổ răng khôn không được khuyến khích vì người mẹ có thể phải chụp X-quang, sử dụng thuốc gây tê hoặc kháng sinh, những yếu tố có nguy cơ tác động tiêu cực đến sự phát triển của thai. Ngoài ra, cảm giác đau, căng thẳng trong quá trình tiểu phẫu có thể khiến cơ thể mẹ tiết ra hormone stress, không tốt cho thai nhi đang trong giai đoạn nhạy cảm nhất.
Ở 3 tháng cuối, thai nhi đã lớn, tử cung mở rộng khiến mẹ bầu dễ mệt, khó nằm lâu trong quá trình nhổ răng. Bên cạnh đó, tâm lý căng thẳng hoặc đau khi nhổ răng có thể kích thích co thắt tử cung, làm tăng nguy cơ sinh non. Đây là lý do bác sĩ thường khuyên nên trì hoãn việc nhổ răng khôn cho đến sau khi sinh hoặc đợi thời điểm an toàn hơn.

Tìm hiểu thêm: Có Bầu Có Nhổ Răng Khôn Được Không? Các Lưu Ý Quan Trọng
Người có bệnh lý nền
Những bệnh lý toàn thân như tiểu đường chưa ổn định, rối loạn đông máu, bệnh tim mạch nặng, huyết áp cao, hoặc các bệnh lý phải dùng thuốc chống đông đều có thể làm tăng nguy cơ chảy máu kéo dài, nhiễm trùng hoặc biến chứng sau nhổ răng.
Với các trường hợp này, bác sĩ sẽ yêu cầu kiểm soát bệnh ổn định hoặc phối hợp cùng bác sĩ chuyên khoa để đánh giá mức độ an toàn trước khi quyết định nhổ răng. Việc trì hoãn tiểu phẫu là cần thiết để tránh nguy hiểm không đáng có.
Người đang gặp tình trạng viêm
Khi vùng răng khôn đang trong tình trạng sưng nướu, viêm , đau cấp hoặc nhiễm trùng, đây không phải là thời điểm phù hợp để nhổ. Việc nhổ răng trong lúc viêm cấp có thể làm nhiễm trùng nặng hơn, gây khó khăn trong quá trình phẫu thuật và khiến vết thương lâu lành.
Trong trường hợp này, bác sĩ sẽ ưu tiên điều trị bằng thuốc để ổn định viêm, sau đó mới hẹn lịch nhổ răng khôn khi mô mềm đã hồi phục.
Răng khôn mọc thẳng, không đau và không ảnh hưởng răng số 7
Không phải răng khôn nào cũng cần phải nhổ. Nếu răng khôn mọc thẳng, hoàn chỉnh, không gây đau nhức, không tạo khe giắt thức ăn và không ảnh hưởng đến răng số 7, bác sĩ thường sẽ không chỉ định nhổ. Thay vào đó, bạn chỉ cần theo dõi định kỳ và chụp phim kiểm tra khi cần để đảm bảo răng khôn không phát sinh vấn đề trong tương lai. Đây là trường hợp hiếm gặp nhưng hoàn toàn có thể giữ lại nếu răng thật sự “lành tính”.
Lưu ý cần biết khi nhổ răng khôn
Trước khi quyết định nhổ răng khôn, bạn nên tìm hiểu và chuẩn bị kỹ lưỡng để đảm bảo quá trình điều trị diễn ra an toàn, ít đau và hồi phục nhanh. Việc nắm rõ những lưu ý quan trọng trước – trong – sau khi nhổ răng khôn giúp hạn chế rủi ro, giảm sưng đau và mang lại kết quả điều trị tối ưu. Dưới đây là các yếu tố cần chú ý khi bạn chuẩn bị nhổ răng khôn.
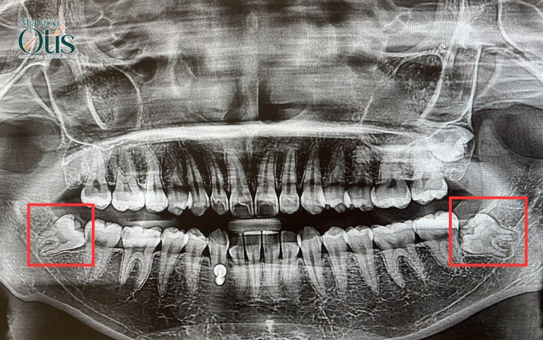
Chụp phim CT để xác định hướng mọc
Bước đầu tiên và quan trọng nhất là chụp phim CT để đánh giá vị trí và hình dạng của răng khôn. Phim Panorama hoặc CT Conebeam giúp bác sĩ xác định hướng mọc, mức độ lệch/ngầm và tránh nhổ răng khôn ảnh hưởng dây thần kinh hàm dưới. Từ đó, bác sĩ mới có thể lựa chọn kỹ thuật nhổ phù hợp, hạn chế rủi ro như tê môi, tổn thương mô mềm hoặc sót chân răng. Đây là thao tác bắt buộc trong mọi ca nhổ răng khôn.

Lựa chọn cơ sở nha khoa uy tín
Để nhổ răng khôn an toàn, bạn cần ưu tiên nha khoa uy tín, có bác sĩ phẫu thuật giàu kinh nghiệm và trang thiết bị đạt chuẩn. Nha khoa tốt thường sở hữu phòng tiểu phẫu vô trùng, máy móc hiện đại và quy trình chăm sóc hậu phẫu rõ ràng. Nhổ răng khôn là thủ thuật đơn giản nhưng đòi hỏi kỹ thuật cao, vì vậy lựa chọn sai cơ sở có thể gây hậu quả lâu dài.
Tại Hà Nội, trong số các địa chỉ được nhiều khách hàng tin tưởng, Nha khoa OTIS là đơn vị nổi bật với thế mạnh chuyên sâu về nhổ răng khôn và tiểu phẫu răng hàm mặt. OTIS sở hữu đội ngũ bác sĩ kinh nghiệm, thao tác nhẹ nhàng, chuẩn chẩn đoán bằng phim CT và sử dụng công nghệ hỗ trợ giảm đau hiện đại. Quy trình vô trùng được kiểm soát nghiêm ngặt, kết hợp chăm sóc hậu phẫu 1–1 giúp khách hàng an tâm từ lúc nhổ đến khi lành thương.
Liên hệ hotline Nha khoa OTIS 0379.210.210 để được tư vấn chi tiết.
Chuẩn bị tâm lý và sức khỏe tốt trước khi nhổ
Với những khách hàng đang thắc mắc có nên ăn trước khi nhổ răng khôn, thì bác sĩ khuyến khích bạn nên ngủ đủ giấc trước ngày nhổ, ăn nhẹ 30 phút trước khi làm thủ thuật (trừ khi bác sĩ yêu cầu khác) và thông báo đầy đủ về các bệnh lý nền như huyết áp, tiểu đường hoặc thuốc đang sử dụng. Điều này giúp bác sĩ có kế hoạch điều trị phù hợp và đảm bảo an toàn trong suốt quá trình tiểu phẫu.
Tuân thủ chăm sóc hậu phẫu đúng hướng dẫn
Sau khi nhổ răng khôn, việc chăm sóc đúng cách quyết định phần lớn tốc độ hồi phục.
- Cắn gạc 20-30 phút để cầm máu
- Không khạc nhổ hoặc súc miệng mạnh trong 24 giờ đầu để tránh làm bật cục máu đông
- Chườm lạnh ngay sau nhổ sẽ giúp giảm sưng
- Tránh thức ăn nóng, cứng hoặc giòn giúp hạn chế kích ứng vết thương
- Uống thuốc theo đúng chỉ định
- Tái khám theo hướng dẫn của bác sĩ để theo dõi tiến trình lành thương

Nhổ răng khôn càng sớm càng dễ, hồi phục càng nhanh
Theo các bác sĩ, thời điểm lý tưởng để nhổ răng khôn là từ 18–25 tuổi. Lúc này, chân răng chưa bén sâu vào xương hàm, mô mềm hồi phục nhanh và thao tác nhổ nhẹ nhàng hơn. Nhổ răng khôn khi còn trẻ giúp hạn chế sưng đau, giảm nguy cơ biến chứng và rút ngắn đáng kể thời gian lành thương. Ngược lại, nhổ răng ở độ tuổi lớn hơn thường khó hơn và mất nhiều thời gian hồi phục.
Việc có nên nhổ răng khôn hay không phụ thuộc vào tình trạng mọc răng, mức độ ảnh hưởng và đánh giá chuyên môn của bác sĩ. Quyết định chính xác nhất là khi bạn thăm khám tại cơ sở nha khoa uy tín và được chụp phim đánh giá đầy đủ. Nếu bạn đang gặp khó chịu ở vùng răng số 8 hoặc băn khoăn không biết có nên nhổ hay không, hãy đến Nha khoa OTIS để được bác sĩ thăm khám, tư vấn và đưa ra phương án tối ưu cho tình trạng của bạn.



